Врожденные пороки сердца у новорожденных

11 февраля 2026 г., среда

Сердце – важнейший орган нашего тела. От состояния сердечно-сосудистой системы напрямую зависит здоровье и продолжительность жизни человека. Беречь сердце необходимо смолоду. В рамках Недели осведомленности о заболеваниях сердца, посвященной Международному дню осведомленности о пороках сердца 14 февраля, особое внимание уделяется врожденным порокам сердца (ВПС) у новорожденных — одной из наиболее актуальных тем. Эти аномалии развития затрагивают около 1% всех детей при рождении и могут существенно повлиять на качество жизни, если не выявить их своевременно.

Сердечно-сосудистые заболевания являются лидирующей причиной преждевременной потери способности, инвалидизации и смертности как во всем мире, так и в Российской Федерации. ВПС составляют значительную долю среди них у детей: по данным ВОЗ, ежегодно рождается более 1,5 млн малышей с такими нарушениями. В России этот показатель достигает 20–25 тысяч случаев в год. Ранняя диагностика и профилактика — ключ к снижению рисков.

Что такое врожденные пороки сердца?

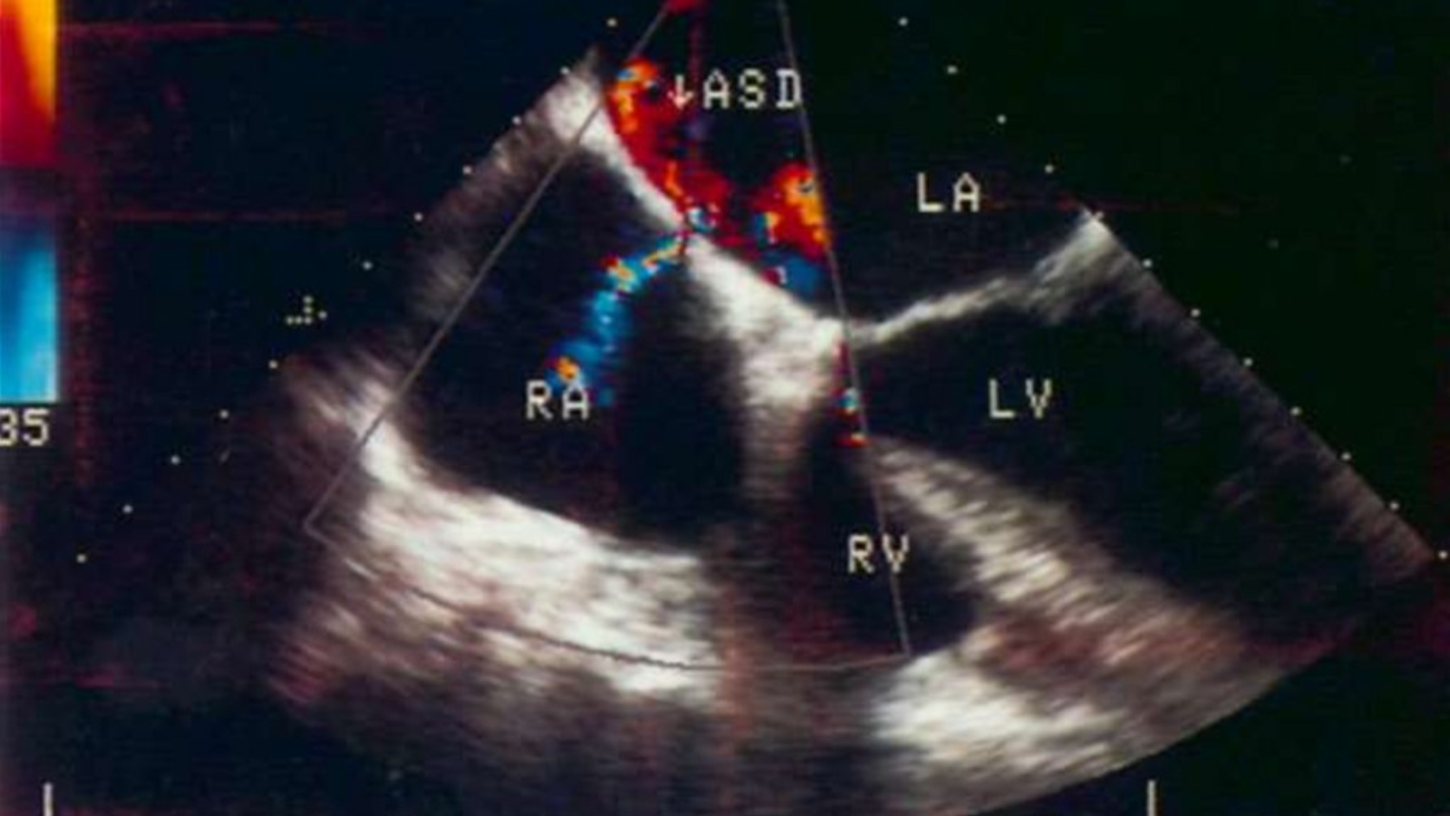
ВПС — это структурные дефекты сердца или крупных сосудов, формирующиеся на 3–8 неделе беременности, когда закладываются органы плода. Они делятся на цианотические (с посинением кожи из-за нехватки кислорода) и ацианотические (без выраженного посинения). Самые частые у новорожденных: дефект межпредсердной перегородки (ДМПП, 25–30%), дефект межжелудочковой перегородки (ДМЖП, 20–25%), открытый артериальный проток (10%) и коарктация аорты (5–7%).

Симптомы проявляются сразу или в первые дни: одышка при кормлении, цианоз (синюшность губ, ногтей), слабость, частые пневмонии, плохой набор веса. У 20–30% новорожденных пороки бессимптомны на старте, что подчеркивает важность скрининга.

Причины и факторы риска

ВПС возникают из-за генетических мутаций (синдром Дауна, Тернера), инфекций матери (краснуха, цитомегаловирус), токсинов (алкоголь, курение, наркотики) или эндокринных нарушений (сахарный диабет). Около 10% случаев наследуемы, остальное — влияние среды. В Неделе осведомленности акцент на то, что многие риски предотвратимы: отказ от вредных привычек у родителей снижает вероятность на 20–30%.

Диагностика: от пренатального скрининга до неонатального обследования

Основной метод — УЗИ сердца плода на 18–22 неделе беременности (эхокардиография), выявляющее 90% пороков. После рождения: пульсоксиметрия (проверка сатурации кислорода), ЭКГ, ЭхоКГ и рентген. В России скрининг обязателен в роддомах. Диагностика заболеваний сердечно-сосудистой системы на ранних этапах и предотвращение их осложнений проводится с помощью диспансеризации и регулярных профилактических осмотров – необходимо обязательное посещение врачей согласно установленному графику и выполнение врачебных рекомендаций и указаний.

Профилактика сердечно-сосудистых заболеваний является основной для улучшения качества и продолжительности жизни, снижения инвалидизации и смертности населения. Для беременных это значит вакцинацию от гриппа и краснухи заранее, прием фолиевой кислоты (400 мкг/сутки с 1-й недели) и йода, контроль веса и давления.

Лечение: от медикаментов до хирургии

У 20–40% пороков (мелкие ДМПП) происходит спонтанное закрытие к 1–2 годам. Остальные требуют вмешательства: катетерные методы (окклюдеры для протока) или открытая операция (в 1-й месяц для критических случаев). Современная хирургия дает 95% успеха у новорожденных. После — пожизненный контроль кардиолога.

Профилактика: лучший подход к ВПС и здоровью сердца

Лучшее лечение – профилактика! Чтобы поддерживать и сохранять здоровье сердечно-сосудистой системы необходимо вести здоровый образ жизни, отказаться от вредных привычек, сохранять умеренную физическую активность в объеме не менее 150 мин в неделю, поддерживать оптимальную массу тела, придерживаться рационального питания, а также контролировать артериальное давление, сердечный ритм, уровень холестерина и глюкозы крови.

Упор на профилактику в Неделе осведомленности: для будущих мам — избегать табака и алкоголя (риск ВПС +300%), лечить хронические болезни, проходить генетический скрининг при отягощенном анамнезе. Папам тоже важно: курение отца удваивает риск. Общее: средиземноморская диета (рыба, овощи, орехи), йога или ходьба для снижения стресса.

Семейный уровень: планирование беременности за 3 месяца, ЭКО только в проверенных клиниках (риск пороков +1–2%). Государственные меры: бесплатный пренатальный скрининг в РФ охватывает 95% беременных. Профилактика снижает частоту ВПС на 15–25%, по данным исследований.

Жизнь после: прогноз и поддержка

С timely коррекцией 85–90% детей ведут полноценную жизнь, занимаются спортом (кроме экстремального). Ограничения: антибиотики перед стоматологией для инфекционного эндокардита. Родителям — мониторинг ЭКГ ежегодно.

Заключение: осведомленность спасает жизни

Неделя осведомленности о заболеваниях сердца напоминает: ВПС у новорожденных — не приговор, если знать риски и действовать. Профилактика и ранняя диагностика — основа успеха. Берегите сердце с поколения в поколение!

 

 

Зам главного врача по орг.-метод. работе ГАУЗ "РЦОЗ и МП" Р.И. Валиев

зав.отделением ГВ и ПЗОЖ ГАУЗ "РЦОЗ и МП" Г.Ф. Галимуллина

 

ПОДПИСАТЬСЯ НА НОВОСТИ
Все материалы сайта доступны по лицензии:
Creative Commons Attribution 4.0 International